0
Login
Forgot Password?
Register Now!
PT BERCA INDONESIA
Surabaya
Toggle navigation
0
Login
Forgot Password?
Register Now!
Home
About Us
Products
Quotation
Baihe
Bayer-Medrad
Bayer-Medrad BHP
Bayer-Medrad Injector
Bayer-Medrad Service
Comen
Medical Monitor
Surgical
Comen Service
Frontier Laboratories
FujiFilm
Gerstel
Gilson
Huanyu
Korber - Sodim
Peak
Philips
Electronic Digital Imaging
Medical Consumable Supplies
ECG Electrode
Battery
Cable
Haemodynamic
HeartStart
NIBP Cuff
MCS Others
Paper
Respiratory
SpO2 / etCO2
Wired 3 Leads
Wired 5 Leads
Patient Care Monitoring
Radiology
Respiratory Care
Ultrasound
Service Contract
Service Parts
Prin-Cen
Ritter
Steris
Steris Service
Others
ISG Support
Analytical
Medical
Healthcare Equipment
Bayer - Medrad
Comen
FujiFilm
Huanyu
Philips
Laboratory Instrument
Frontier Lab
Gerstel
Korber
Peak Scientific
Others
Contact Us
Valid in Indonesia only
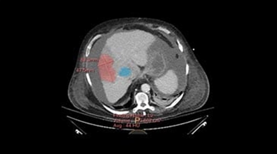
Philips IntelliSpace Portal for CT Oncology
PHILIPS
Need Quotation
Login
Forgot Password?
Register Now!